Les nodules sont plus courants que la plupart des gens ne le pensent. Selon l’Organisation mondiale de la santé, des millions de personnes dans le monde entier sont diagnostiquées avec des nodules, qui peuvent se développer dans différentes parties du corps, notamment la thyroïde, les seins et les poumons. La plupart de ces nodules sont bénins, mais il est important de les surveiller de près, car certains peuvent signaler des problèmes de santé sous-jacents. Dans ce blog, nous allons explorer ce que sont les nodules, s’ils ont le potentiel de devenir malins et comment le scalaire Spooky2 peut soutenir le processus de guérison naturel du corps dans le traitement des nodules.
Que sont les nodules ?
Ils peuvent être bénins ou associés à une croissance cellulaire anormale (prolifération cellulaire incontrôlée). La taille, la texture et la consistance des nodules varient en fonction de leur emplacement. Les types courants de nodules comprennent ceux trouvés dans la thyroïde, les seins, les poumons et le foie. Bien que de nombreux nodules soient inoffensifs et restent stables, certains peuvent nécessiter une surveillance et une intervention plus étroites, en particulier s’ils sont liés à une croissance cellulaire anormale. Il est essentiel de comprendre leur formation, leurs causes et leurs risques potentiels pour une bonne gestion.
Types de nodules
Les nodules peuvent se former dans divers organes du corps. Les types courants comprennent:
- Nodules thyroïdiens: souvent bénins, mais certains peuvent indiquer une croissance cellulaire anormale.
- Nodules mammaires: il peut s’agir de kystes, de fibroadénomes ou de masses présentant une croissance cellulaire anormale.
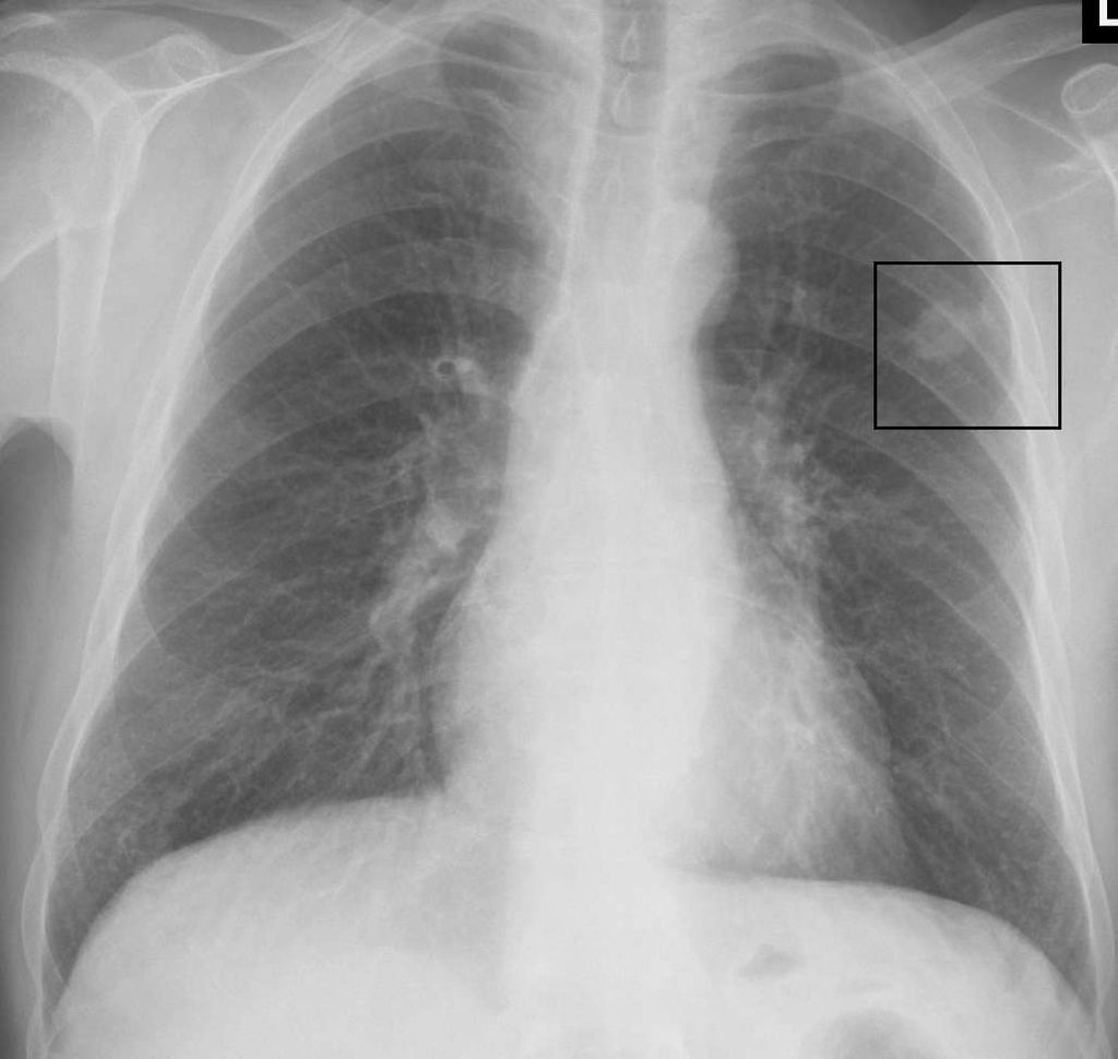
- Nodules pulmonaires: causés par des infections, une inflammation ou une croissance anormale.
- Nodules hépatiques : Ils peuvent résulter de conditions telles que la cirrhose ou des infections.
- Autres nodules: des nodules peuvent également se former dans les reins, les glandes surrénales et d’autres zones.


Causes et facteurs de risque de la formation de nodules
La formation de nodules est un processus complexe influencé par divers facteurs. En général, il s’agit d’une croissance cellulaire anormale ou d’une inflammation. Les principales causes et facteurs de risque sont les suivants :
- Croissance cellulaire anormale : elle peut entraîner la formation de nodules dans différents organes, indiquant potentiellement une affection bénigne ou maligne.
- Inflammation : une inflammation chronique peut déclencher le développement de nodules dans certains organes.
- Exposition aux toxines : une exposition à long terme à des substances nocives, telles que des produits chimiques ou des polluants, peut contribuer à la formation de nodules.
- Infections : certaines infections peuvent provoquer la formation de nodules lorsque le corps réagit à l’infection.
Les nodules peuvent-ils devenir malins ?
La distinction entre les nodules bénins et malins est cruciale. Alors que les nodules bénins ne sont pas nocifs et ne nécessitent généralement pas de traitement, les nodules malins impliquent une prolifération cellulaire incontrôlée, ce qui peut entraîner une croissance et une propagation invasives. Plusieurs facteurs influencent la malignité d’un nodule bénin :
Type de nodule : certains nodules, comme certains nodules thyroïdiens, présentent un risque plus élevé de malignité.
Taille et taux de croissance : les nodules plus gros ou à croissance rapide doivent être surveillés de près, car ils peuvent indiquer un risque plus élevé de développement anormal.
Caractéristiques d’imagerie : des bordures irrégulières ou des caractéristiques internes spécifiques observées sur des échographies, des tomodensitogrammes ou des IRM peuvent suggérer un potentiel de malignité.
Résultats de la biopsie : une biopsie est la méthode la plus fiable pour déterminer si un nodule est bénin ou malin en examinant un échantillon de tissu.
Si certains nodules bénins restent stables, d’autres peuvent se transformer en affections invasives. Des contrôles réguliers et une détection précoce au moyen de tests appropriés sont essentiels pour une gestion efficace et de meilleurs résultats.
Utilisation du scalaire Spooky2 pour le traitement des nodules
Les nodules, bien que souvent bénins, peuvent parfois indiquer une croissance anormale. Le scalaire Spooky2 offre une approche complémentaire pour soutenir la guérison naturelle du corps en rétablissant la communication cellulaire et en débloquant les canaux énergétiques.
Le scalaire Spooky2 fonctionne en créant un champ scalaire avec un émetteur et un récepteur, en utilisant des ondes scalaires pour transmettre efficacement l’énergie. Cela rétablit l’équilibre, améliore la fonction immunitaire et soutient la capacité du corps à traiter les croissances anormales, telles que les nodules.
Comment utiliser le scalaire Spooky2 pour traiter les nodules
Suivez ces étapes pour utiliser efficacement le mode scalaire Spooky2 :
Configuration matérielle :
- Configurez vos appareils scalaires Spooky2.
Fonctionnement du logiciel :
Téléchargez le logiciel Spooky2
- Commencez par configurer les appareils scalaires Spooky2.
- Connectez le GeneratorX Pro au scalaire Spooky2 et ajustez l’appareil scalaire pour des performances optimales.
- Ouvrez le logiciel Spooky2 et accédez à l’onglet Préréglages. Sous Préréglages Shell (vides) > scalaire, sélectionnez Spooky scalaire Général (SS)-JW.
- Accédez à l’onglet Programmes, recherchez « Nodules » et cliquez sur le programme en surbrillance pour le charger.
- Dans l’onglet Contrôle, cochez l’option Remplacer le générateur, puis ouvrez un port de générateur et cliquez sur le bouton Démarrer pour lancer le programme.
- Placez-vous entre l’émetteur et le récepteur pendant que le programme est en cours d’exécution, permettant à l’énergie scalaire de prendre effet.
Conclusion
Le Spooky2 scalaire offre des avantages significatifs pour le traitement des nodules en améliorant la communication cellulaire et en rétablissant le flux d’énergie. Il fonctionne en créant un champ scalaire qui soutient les mécanismes de guérison naturels du corps, aidant à traiter les excroissances anormales telles que les nodules. Les ondes scalaires transmises via le dispositif scalaire Spooky2 facilitent le déblocage des canaux énergétiques et améliorent la fonction immunitaire, qui joue un rôle crucial dans la gestion et la guérison des nodules. Par conséquent, le scalaire Spooky2 constitue une thérapie complémentaire efficace pour les personnes cherchant à soutenir leur corps dans le traitement des nodules et à favoriser le bien-être général.


